In a recent interview with Pharmacy Times, Shawn Gremminger, the president and CEO of the National Alliance...
The U.S. Food and Drug Administration (FDA) has accepted a new drug application (NDA) for plozasiran, a...
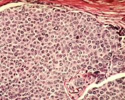
A new and groundbreaking study published in the journal Blood is set to redefine our understanding of...
Unicycive Therapeutics has announced that it has been issued a new U.S. patent for its investigational drug,...
A new report, the 2025 U.S. Pharmacy Study by J.D. Power, reveals a significant change in how...
Precision medicine is no longer a futuristic concept—it is at the forefront of modern cancer care, with...
In a presentation at the 2025 Oncology Pharmacists Connect (OPC) meeting, Mya Tran, PharmD, BCOP, highlighted a...
A new study published in the American Journal of Preventive Medicine highlights that the COVID-19 pandemic exacerbated...
Alaska passed SB 133, a new law that places strict time limits on prior authorization (PA) decisions...
The U.S. Food and Drug Administration (FDA) has issued a Complete Response Letter (CRL) for the New...
